
“身体不僵硬了,现在和正常人没差别。”近日,37岁的李女士笑着描述治疗后的状态。今年6月,她在中国科学技术大学附属第一医院接受NCR201诱导多能干细胞衍生多巴胺能神经前体细胞移植,三个月后成为全球首位通过该疗法实现“功能性治愈”的帕金森病患者。
从误诊到确诊,传统治疗遇瓶颈
李女士的病症早有伏笔。读书时暑假在宁波打工做圣诞树装饰,她因动作慢遭同伴质疑,却找不出原因。生育大宝后,手颤、身体僵硬、疼痛接踵而至,她辗转多院,甚至被误诊为“焦虑症”,直到2023年8月才被确诊为遗传型帕金森病。“我还年轻,孩子还小,怎么会得这种病?”震惊之余,她也为多年的“不对劲”找到答案。
确诊后,传统药物治疗仅能暂时缓解症状,无法阻止病情进展,还出现“开关现象”——药效消退后身体僵硬、行动困难,生活充满不确定性。疾病还让她陷入精神低谷:放弃工作、减少社交,甚至产生轻生念头,一次求职因面部呆滞被婉拒,更让她自我否定。
勇当“先行者”,脑部移植迎来新生机
就在至暗时刻,医生告知李女士可参与NCR201干细胞疗法临床试验。这款基于诱导多能干细胞的疗法尚处探索阶段,脑部手术存在风险,但她毫不犹豫:“哪怕只有一丝希望,也要为两个孩子试试。”在家人支持下,她今年6月顺利接受移植,成为该疗法的“先行者”。
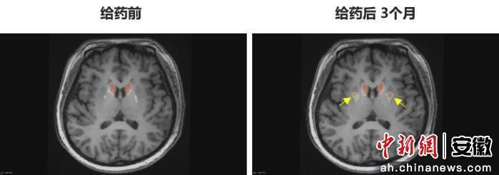
术后一个月,变化悄然发生:长期的“连续剧式梦”消失,睡眠质量显著提升,抑郁情绪也逐渐消散。最让她震撼的是术后脑部影像——医生指出的“新生亮点”,是成功移植的多巴胺能神经细胞,“像小火苗,点亮了我心里熄灭多年的地方”。
图为李女士 PET-DAT/MRI融合图像术前与术后三个月对比。
重启人生,为全球病友传希望
术后三个月,李女士实现“功能性治愈”:“关期”彻底消失,声音轻快、表情自然,行动如常人。
如今的她,暑假能陪儿子跑步、打羽毛球,带孩子去南京夫子庙游玩,步行一整天也不觉累。“这些平常事,都是失而复得的珍宝。”
目前,她已规划未来:“想好好工作,考驾照买车,带孩子四处看看。”